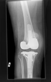
Medical technology m
arches on, with new designs for artificial hips and knees, but the hips and knees themselves march no better than older models. Which is bad news, because those older models have been marching so poorly that they are expected to fail much sooner than the 15 years that most patients were promised. The New York Times reports that a study of 1oo hip replacements using new models made between 2003 and 2007 found that “not a single new artificial hip or knee introduced over a recent five-year period was any more durable than older ones. In fact, 30 percent of them fared worse.” Yikes! The bad news gets worse when one considers that about 700,000 Americans will have hips or knees replaced this year. Read more in the New York Times.
